Skip to content Skip to sidebar Skip to footer

Mrt Weiße Flecken Becken

Mrt Becken Kann Mir Jemand Sagen Was Das Ist Medizin

Mrt Becken Kann Mir Jemand Sagen Was Das Ist Medizin

Mrt weiße flecken becken. Gelenkverschleiß oder einen Becken-Schiefstand ausgelöst werden Knochenkrebs Osteosarkom Beim Osteosarkom handelt es. Dabei stülpt sich das Bauchfell in diesem Bereich durch die Bauchwand. Httpwwwlads-hochdeshareportalapptemplateInlinevmoE162ADF918ECB523EC497D682498114EjsessionidC214A54A93B933B1AE7BB1593D348D4A auch in einer aufnahme vom 189.

Auf meinen Bildern sind 2 weiß leuchtende Bilder zu sehen. MRT Bilder weiße Flecken Bilder - 20 Neukundenrabatt sicher. Was bedeuten weiße Flecken.

Die Ärzte die vor Ort waren Augenarzt Zahnarzt HNO Internist und Orthopäde haben mir nur wenig mit gemacht. Bei den mrt wurden auch bereiche des abdomen miterfasst. Die Ärzte die vor Ort waren Augenarzt Zahnarzt HNO Internist und Orthopäde haben mir nur wenig mit gemacht.

Wer damit Probleme hat sollte das Personal vorher darauf ansprechen. Die MRT der Hüfte ist mittlerweile ein sehr gutes bildgebendes Verfahren um strukturelle Veränderungen der Hüfte und anderer Gelenke frühzeitig zu erkennen. Besser als beim Röntgen und bei einer Computertomographie können bereits kleinste Veränderungen von.

Was sind diese weißen Flecken auf der MRT. Es gibt auch schon offene Geräte für Menschen mit Platzangst. In bestimmten Sequenzen werden die verschiedenen Körperstrukturen in unterschiedlichen Hell- und Dunkeltönen dargestellt so sind zB.

Sie meinten direkt es ist multiple Sklerose. MRT - weiße Flecken. Kleinere weiße Flecken in einem MRT des Schädels müssen nicht immer gleich eine MS bedeuten.

Es gibt sehr oft unspezifische Veränderungen ohne Krankheitswert. Diese Punkte können als nicht identifizierte helle Objekte UBO Bereiche mit hoher Signalintensität HSIA Hyperintensitäten der weißen Substanz und unspezifische Veränderungen der weißen Substanz bezeichnet werden.

Bildgebende Verfahren Rontgen Ct Und Mrt Kenhub

Bildgebende Verfahren Rontgen Ct Und Mrt Kenhub

Mrt Des Beckens Bei Malignomen Radiologie Darmstadt

Mrt Des Beckens Bei Malignomen Radiologie Darmstadt

Magnetresonanztomographie Des Abdomens Beckens Ct Mrt Institut Berlin

Magnetresonanztomographie Des Abdomens Beckens Ct Mrt Institut Berlin

Mrt Weisse Flecken Medizin

Mrt Weisse Flecken Medizin

Patienteninfo Chefarzt Prof Dr Med Matthias Bollow Radiologie Augusta Kranken Anstalt Ggmbh

Patienteninfo Chefarzt Prof Dr Med Matthias Bollow Radiologie Augusta Kranken Anstalt Ggmbh

Schonende Diagnose Der Endometriose Mrt Spurt Schleimhautinseln Auf Drg De

Schonende Diagnose Der Endometriose Mrt Spurt Schleimhautinseln Auf Drg De

Mrt Becken Radtop De Praxis Fur Radiologie Neuroradiologie Dr Topcu Kollegen

Mrt Becken Radtop De Praxis Fur Radiologie Neuroradiologie Dr Topcu Kollegen

Bildgebende Verfahren Rontgen Ct Und Mrt Kenhub

Bildgebende Verfahren Rontgen Ct Und Mrt Kenhub

Ukgm Giessen Marburg Mrt Des Beckens

Ukgm Giessen Marburg Mrt Des Beckens

Mrt Untersuchung Der Hufte In Top Qualitat Alta Klinik

Mrt Untersuchung Der Hufte In Top Qualitat Alta Klinik

Magnetresonanztomographie Des Abdomens Beckens Ct Mrt Institut Berlin

Magnetresonanztomographie Des Abdomens Beckens Ct Mrt Institut Berlin

Knochenmarkodem Orthopadische Chirurgie Bayreuth

Knochenmarkodem Orthopadische Chirurgie Bayreuth

Mrt Der Nieren Bei Unklaren Raumforderungen Radiologie Darmstadt

Mrt Der Nieren Bei Unklaren Raumforderungen Radiologie Darmstadt

Unschlagbar Die Ganzkorper Mrt Bei Knochenmetastasen Healthcare In Europe Com

Unschlagbar Die Ganzkorper Mrt Bei Knochenmetastasen Healthcare In Europe Com

Enorme Bedeutung Der Lymphknoten Bildgebung In Der Diagnostik European Society Of Radiology

Enorme Bedeutung Der Lymphknoten Bildgebung In Der Diagnostik European Society Of Radiology

Bildgebung Peripherer Nerven

Bildgebung Peripherer Nerven

Schonende Diagnose Der Endometriose Mrt Spurt Schleimhautinseln Auf Drg De

Schonende Diagnose Der Endometriose Mrt Spurt Schleimhautinseln Auf Drg De

Bildgebende Verfahren Rontgen Ct Und Mrt Kenhub

Bildgebende Verfahren Rontgen Ct Und Mrt Kenhub

Schonende Diagnose Der Endometriose Mrt Spurt Schleimhautinseln Auf Drg De

Schonende Diagnose Der Endometriose Mrt Spurt Schleimhautinseln Auf Drg De

Diagnostik Des Nierenzellkarzinoms Nierenzellkarzinom Erkrankungen Therapien Urologie Uniklinik Koln

Diagnostik Des Nierenzellkarzinoms Nierenzellkarzinom Erkrankungen Therapien Urologie Uniklinik Koln

Untersuchungen Mittels Kernspintomographie Mrt Mrt Akademie Berlin

Untersuchungen Mittels Kernspintomographie Mrt Mrt Akademie Berlin

Wirbelsaulenmetastasen Konnen Sich Mit Nachtlichen Schmerzen Bemerkbar Machen Medical Tribune

Wirbelsaulenmetastasen Konnen Sich Mit Nachtlichen Schmerzen Bemerkbar Machen Medical Tribune

Ratselhafter Patient Gefahrliche Ruckenschmerzen Bei Schwangerschaft Der Spiegel

Ratselhafter Patient Gefahrliche Ruckenschmerzen Bei Schwangerschaft Der Spiegel

Https Encrypted Tbn0 Gstatic Com Images Q Tbn And9gcsbwqbyah 9xoqto0xyru0n8hn8kjg0znrizmivuh4u Ypq1teg Usqp Cau

Https Encrypted Tbn0 Gstatic Com Images Q Tbn And9gcsbwqbyah 9xoqto0xyru0n8hn8kjg0znrizmivuh4u Ypq1teg Usqp Cau

Magnetresonanztomographie Von Gelenken Und Extremitaten Ct Mrt Institut Berlin

Magnetresonanztomographie Von Gelenken Und Extremitaten Ct Mrt Institut Berlin

Primovist Mrt Vorteile Gegenuber Ct Primovist Verstarkte Mrt Der Leber Pdf Free Download

Primovist Mrt Vorteile Gegenuber Ct Primovist Verstarkte Mrt Der Leber Pdf Free Download

Mrt Der Hufte Detaillierte Anatomie

Mrt Der Hufte Detaillierte Anatomie

Mrt Kopf Alles Zur Kernspintomographie Med 360

Mrt Kopf Alles Zur Kernspintomographie Med 360

Weisse Flecken Im Mrt Archiv

Weisse Flecken Im Mrt Archiv

Bildgebende Verfahren Rontgen Ct Und Mrt Kenhub

Bildgebende Verfahren Rontgen Ct Und Mrt Kenhub

Https European Hospital Com Media Issue 451 Issue Pdf

Https European Hospital Com Media Issue 451 Issue Pdf

Mrt Bildgebung Bei Prostatakrebs Vitus Prostata Center

Mrt Bildgebung Bei Prostatakrebs Vitus Prostata Center

Rontgen Bilder Von Patienten Selbst Diagnose Stellen Wie Ein Arzt Der Spiegel

Rontgen Bilder Von Patienten Selbst Diagnose Stellen Wie Ein Arzt Der Spiegel

Mrt Weisse Flecken Bedeuten Gesundheit Und Medizin Gesundheit

Mrt Weisse Flecken Bedeuten Gesundheit Und Medizin Gesundheit

Bildgebende Verfahren Rontgen Ct Und Mrt Kenhub

Bildgebende Verfahren Rontgen Ct Und Mrt Kenhub

Knochenmetastase Wikipedia

Knochenmetastase Wikipedia

Mrt Bild Deuten Wirbelsaule Radiologie

Mrt Bild Deuten Wirbelsaule Radiologie

Magnetresonanztomographie Der Wirbelsaule Ct Mrt Institut Berlin

Magnetresonanztomographie Der Wirbelsaule Ct Mrt Institut Berlin

Https Www Thieme De Statics Bilder Thieme Final De Bilder Tw Radiologie Mrt Von Muskelverletzungen Pdf

Https Www Thieme De Statics Bilder Thieme Final De Bilder Tw Radiologie Mrt Von Muskelverletzungen Pdf

Mrt Der Hufte Detaillierte Anatomie

Mrt Der Hufte Detaillierte Anatomie

Schonende Diagnose Der Endometriose Mrt Spurt Schleimhautinseln Auf Drg De

Schonende Diagnose Der Endometriose Mrt Spurt Schleimhautinseln Auf Drg De

Hirnmetastasen Neurochirurgie Inselspital Bern

Hirnmetastasen Neurochirurgie Inselspital Bern

Darstellung Von Wirbelsaule Und Gelenken Digitales Rontgen Und Mrt

Darstellung Von Wirbelsaule Und Gelenken Digitales Rontgen Und Mrt

Https Www Thieme De Statics Bilder Thieme Final De Bilder Tw Radiologie Mrt Von Muskelverletzungen Pdf

Https Www Thieme De Statics Bilder Thieme Final De Bilder Tw Radiologie Mrt Von Muskelverletzungen Pdf

Https Www Online Oup De Article Stellenwert Der Mrt Diagnostik Bei Hueftgelenkveraenderungen Uebersichtsarbeiten 2013 07 08 265 Articlemedia Issue

Https Www Online Oup De Article Stellenwert Der Mrt Diagnostik Bei Hueftgelenkveraenderungen Uebersichtsarbeiten 2013 07 08 265 Articlemedia Issue

Rotatorenmanschettenruptur Schulter Und Ellenbogenchirurgie Lmu Munchen

Rotatorenmanschettenruptur Schulter Und Ellenbogenchirurgie Lmu Munchen

Rontgen Bilder Von Patienten Selbst Diagnose Stellen Wie Ein Arzt Der Spiegel

Rontgen Bilder Von Patienten Selbst Diagnose Stellen Wie Ein Arzt Der Spiegel

Ursachen Diagnose Und Erste Hilfe Bei Ruckenschmerzen Hexenschuss Bandscheibe Oder Ischias Ruckenschmerzen Br Wissen

Ursachen Diagnose Und Erste Hilfe Bei Ruckenschmerzen Hexenschuss Bandscheibe Oder Ischias Ruckenschmerzen Br Wissen

Https Encrypted Tbn0 Gstatic Com Images Q Tbn And9gcqclemz5thnef6i2ldq1yasq Mbjlwuwl7hvw3f6lussaapnhwa Usqp Cau

Https Encrypted Tbn0 Gstatic Com Images Q Tbn And9gcqclemz5thnef6i2ldq1yasq Mbjlwuwl7hvw3f6lussaapnhwa Usqp Cau

Die MRT der Hüfte ist mittlerweile ein sehr gutes bildgebendes Verfahren um strukturelle Veränderungen der Hüfte und anderer Gelenke frühzeitig zu erkennen.

MRT - weiße Flecken. Was bedeuten weiße Flecken. Die MRT bringt keine Strahlenbelastung mit sich. Sie meinten direkt es ist multiple Sklerose. Der Leistenkanal im vorderen Bauchraum wird durch Muskelhüllen Faszien gebildet und kann eine Schwachstelle sein. Wenn Ihr Arzt Ihnen mitteilt dass sich auf einem Magnetresonanzbild MRT Ihres Gehirns Flecken befinden könnte. Veränderungen der Muskulatur des Beckenbodens sind sehr gut im MRT abzubilden. Flüssigkeitsansammlungen als weiße Flecken sichtbar. Auf der aufnahme vom 259.


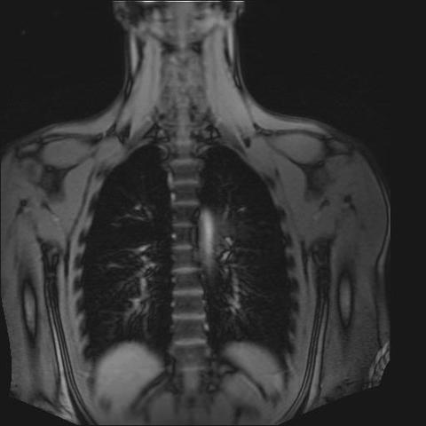
Die Veränderungen müssen immer im Zusammenhang mit der klinischen Symptomatik gesehen werden. Was bedeuten weiße Flecken. Aber es wäre auch möglich dass wenn der weisse Fleck ausserhalb des Knochens ist um die normale Gelenkflüssigkeit handelt. Wenn eine MRT des Abdomens also Bauchraumes auch Abdominal-MRT ansteht handelt es sich in der Regel um sehr gezielte Fragestellungen an Organen. Gestern war ich in einem MRT. Bei der MRT des Beckens handelt es sich um ein bildgebendes Verfahren welches nicht invasiv ist. Es gibt sehr oft unspezifische Veränderungen ohne Krankheitswert.

Post a Comment for "Mrt Weiße Flecken Becken"